Galerie

Vorher / Nachher Vergleiche von kieferorthopädischen Behandlungen

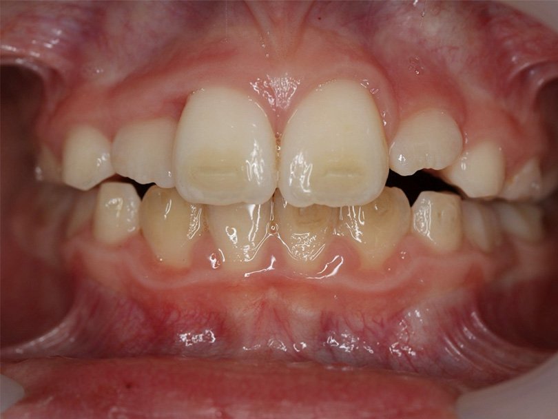
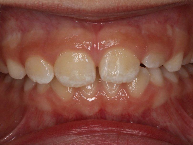
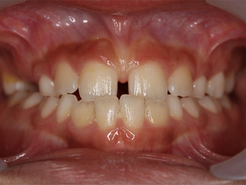
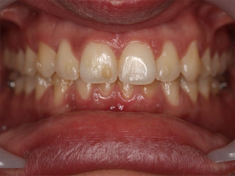
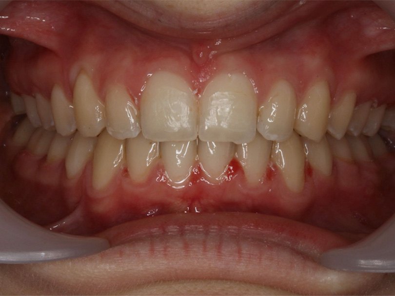
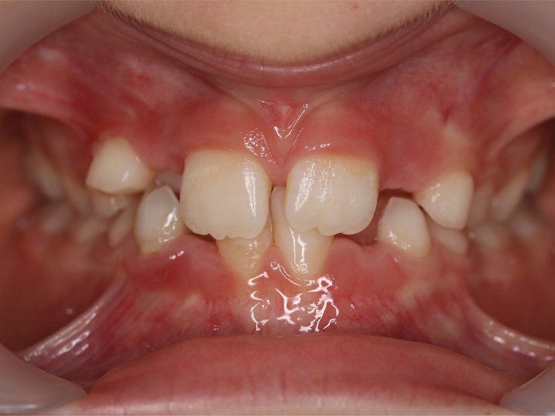
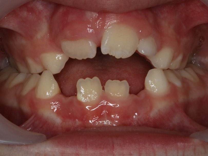
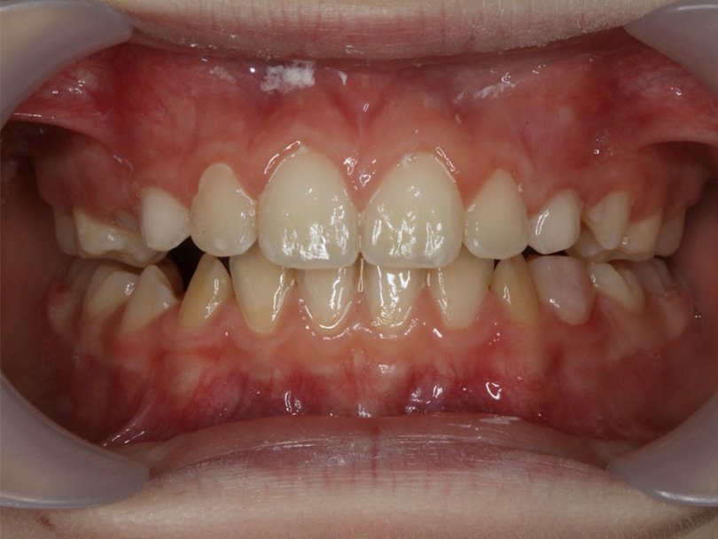
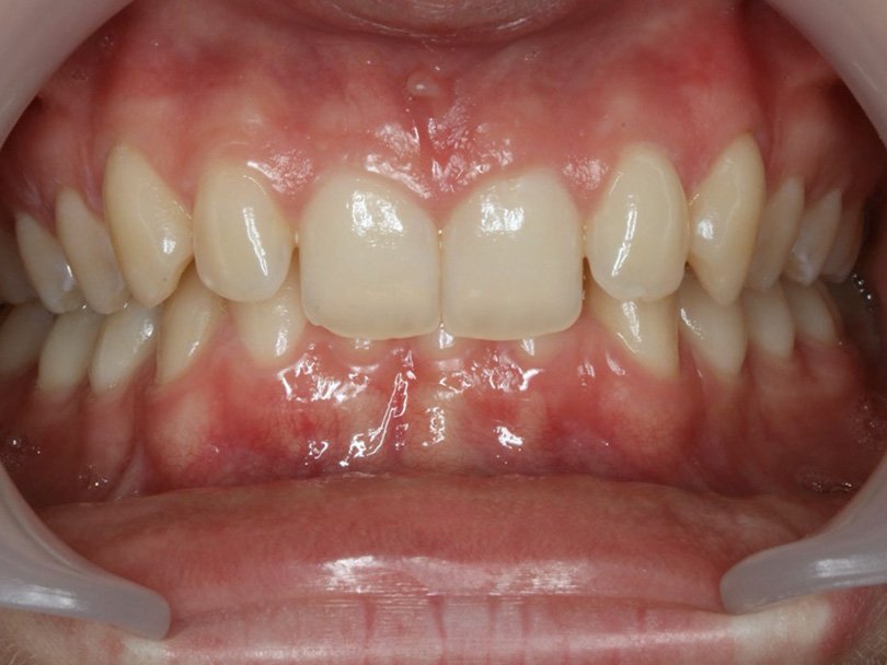
7-jährige Patientin, Aligner-Behandlung, offener Biss

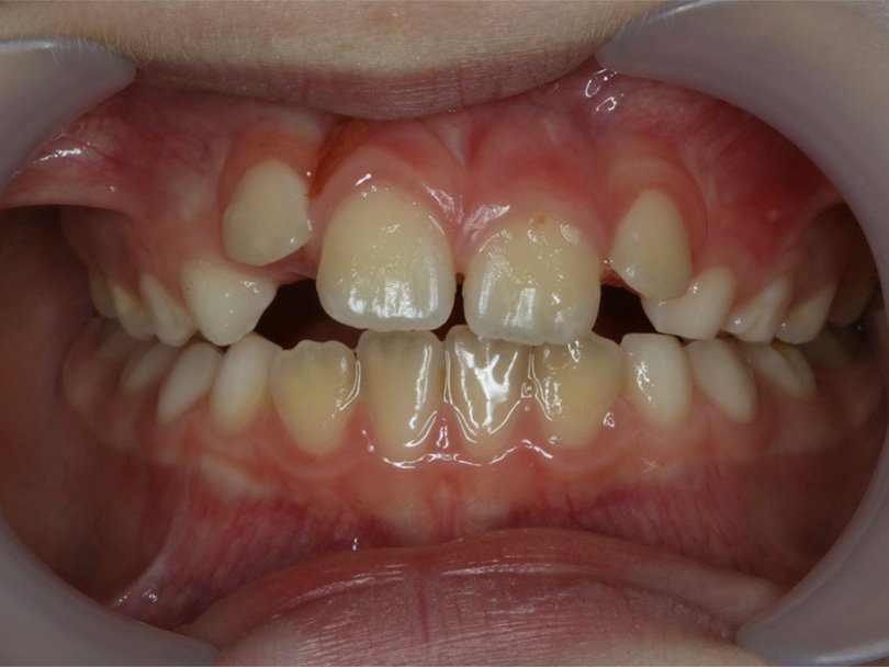
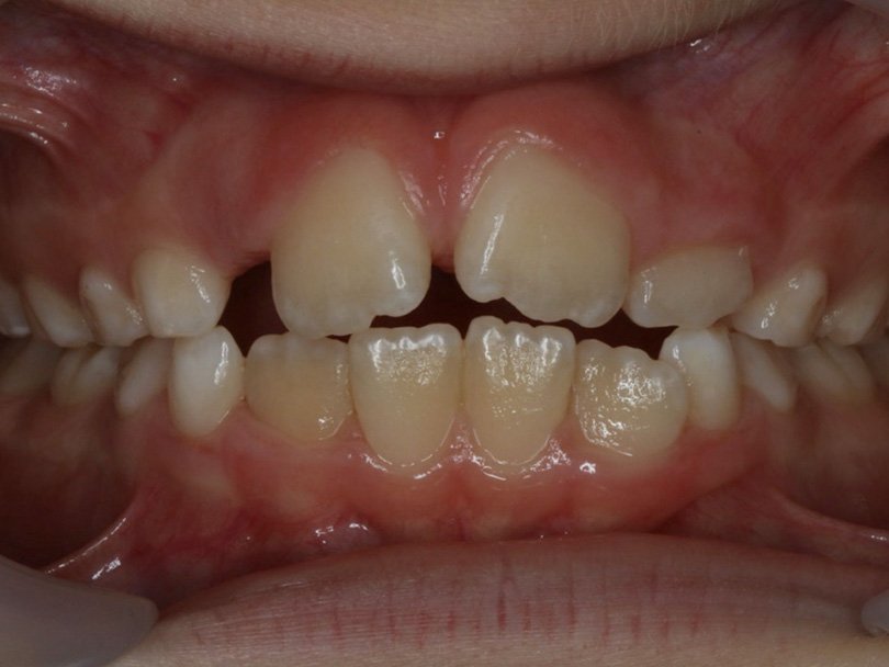
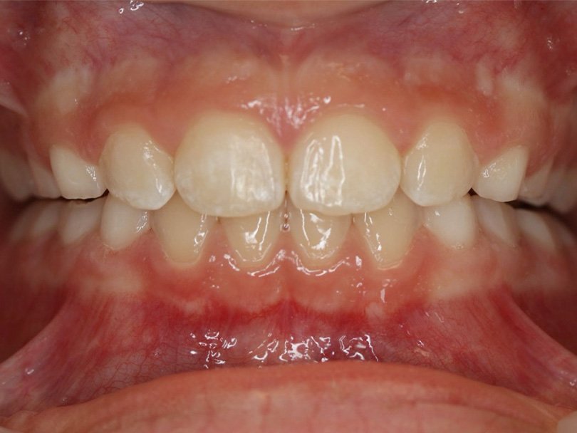
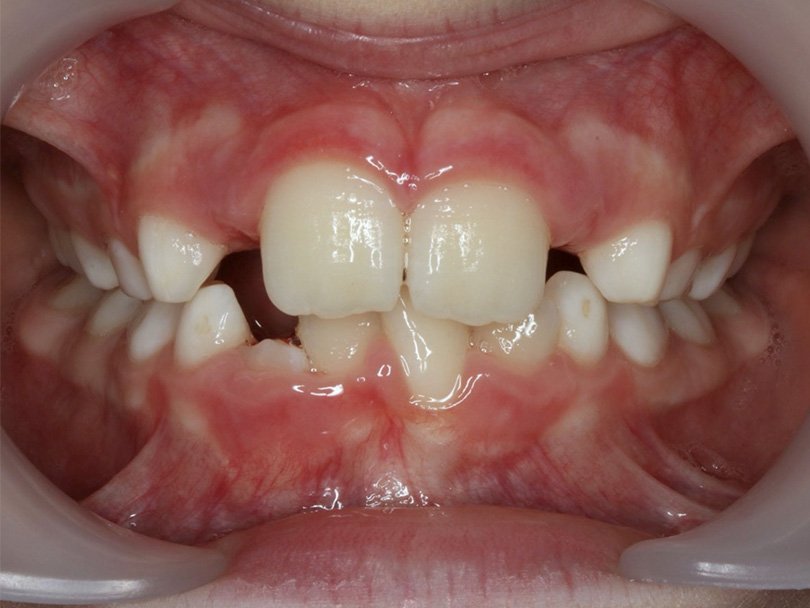
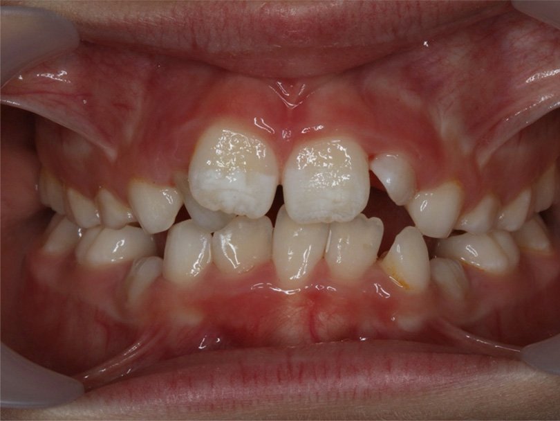
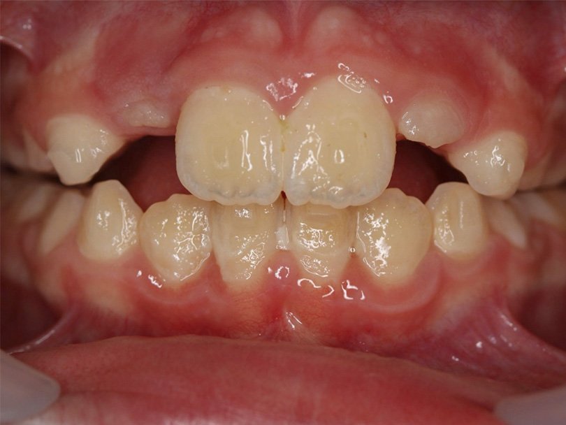
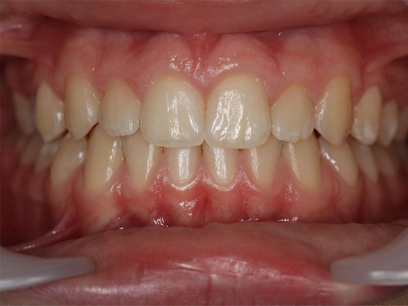
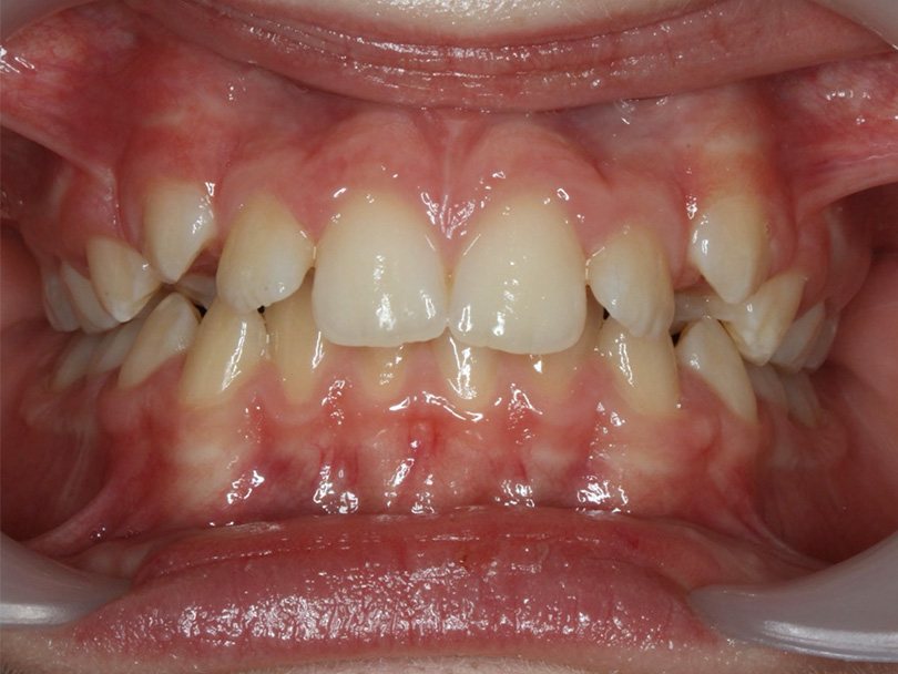
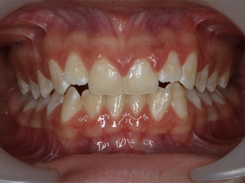
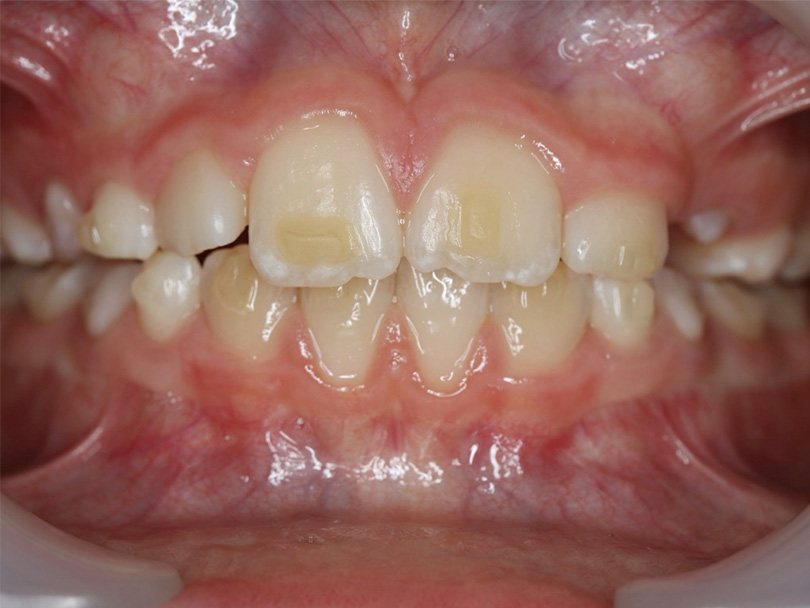
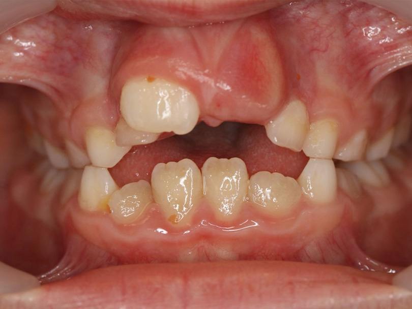
8-jährige Patientin, Aligner-Behandlung

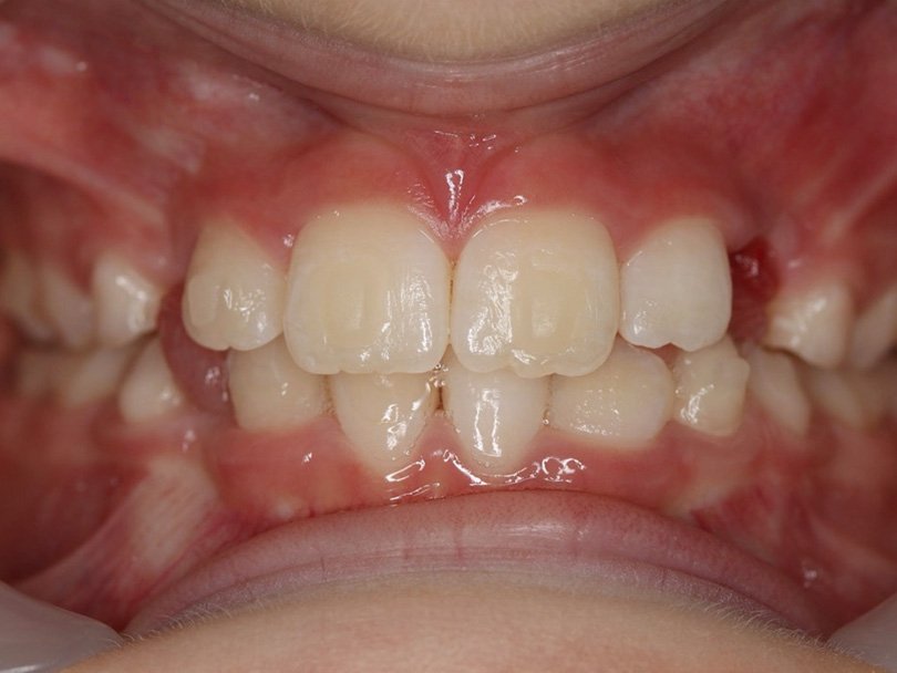
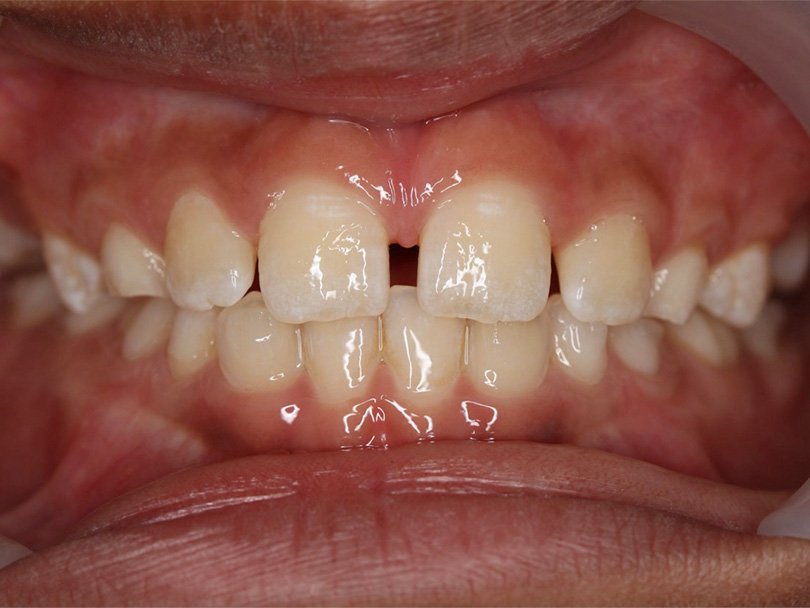
8-jährige Behandlung, Aligner-Behandlung, Phase 1

8-jährige Patientin, GNE-Behandlung, Aligner-Behandlung, Kreuzbiss

8-jährige Patientin, GNE-Behandlung, Aligner-Behandlung

8-jährige Patientin, GNE-Behandlung, Aligner-Behandlung, Phase 1

8-jähriger Patient, Aligner-Behandlung

9-jähriger Patient, Aligner-Behandlung

10-jähriger Patient, Delaire Maske, Hybrid Hyrax

13-jährige Patientin, Aligner-Behandlung

16-jährige Patientin, MB-Behandlung

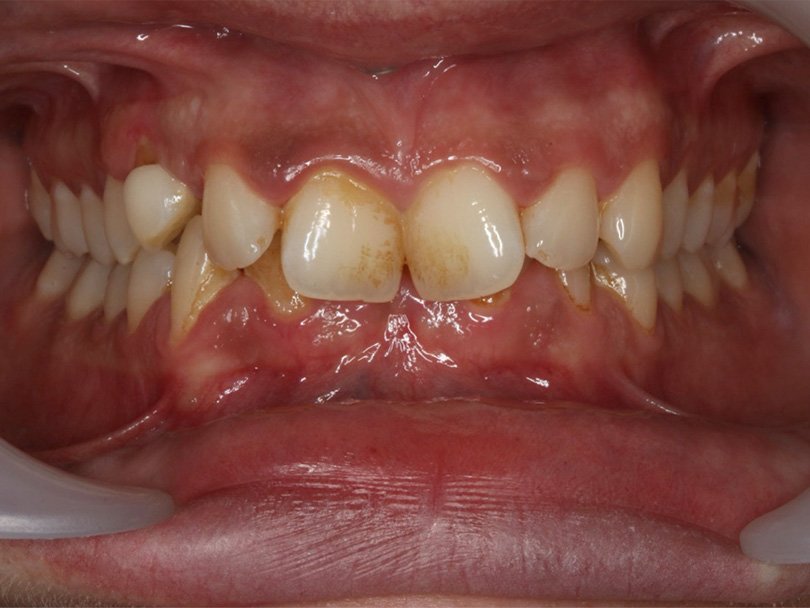
17-jährige Patientin, MB-Behandlung, Deckbiss

24-jährige Patientin, Aligner-Behandlung